 |
|
|
|
|
LABORATÓRIO NICOLAU
Pinledge: uma alternativa conservadora para retenção adicional em preparos extracoronários
|
José Mondelli -
|
Professor Titular do Departamento de Dentística, Endodontia e Materiais Dentários da Faculdade de Odontologia de Bauru - USP
|
|
Ticiane Cestari Fagundes -
|
Mestranda em Dentística da Faculdade de Odontologia de Bauru - USP
|
|
Patrícia Aleixo dos Santos -
|
Mestranda em Dentística da Faculdade de Odontologia de Bauru – USP
|
|
Miguel Asenjo Martinez -
|
Mestrando em Dentística da Faculdade de Odontologia de Bauru – USP
|
|
Laboratório Nicolau-
|
Responsável pelos procedimentos laboratoriais
|
Introdução
Os pinos fixados em dentina são uma alternativa conservadora para dentes com coroa clínica curta ou que perderam grande quantia de estrutura dentária, cujo remanescente dentário depois de preparado torna-se insuficiente para reter uma restauração direta ou indireta.
A retenção e o travamento mecânico por meio desses pinos, permite que uma restauração indireta tipo "pinledge" possa suportar as forças mastigatórias sem fraturar ou deslocar-se, preservando a vitalidade pulpar, diminuindo o desgaste de estrutura sadia e evitando a necessidade de reconstrução morfológica com núcleos de preenchimento ou fundidos (MONDELLI, 1996).
A técnica de utilização de pinos fixados em dentina é minuciosa havendo necessidade de analisar certos requisitos em relação ao dente e aos orifícios que abrigarão os pinos. Deve-se observar especialmente se existe quantidade suficiente de dentina, a configuração pulpar e a localização paralela das perfurações ao eixo longitudinal do dente. Em relação aos pinos, é importante analisar o paralelismo entre eles, a profundidade da perfuração do orifício e a quantidade necessária dependendo do grau de destruição da estrutura dentária.
Caso clínico
O dente 16 apresentava apenas duas cúspides remanescentes e fragilizadas, as quais precisaram ser reduzidas por desgaste (Fig. 1). Após a redução cuspídea, restou uma coroa clínica curta e com assoalho pulpar plano. Devido a essas condições não havia a possibilidade de preparar uma caixa oclusal, os degraus proximais que determinam uma cavidade MOD pois a polpa seria atingida , assim como, estrutura para reter uma coroa total. (Fig. 1, 2 e 3).
O ângulo cavo-superficial foi preparado com ponta diamantada (nº3118 da KG Sorensen) girando em baixa velocidade, formando um bisel chanfrado em toda extensão da margem vestibular e lingual do dente (Fig. 3). Por sua vez, as margens proximais foram biseladas com ponta diamantada de diâmetro menor (nº1111 da KG Sorensen) estendendo-se para vestibular e lingual com o intuito de manter o término cavitário separado do dente vizinho e manter a distância biológica horizontal (espaço para acomodar a papila sem ser comprimida, facilitar o acabamento das margens de esmalte, das bordas da restauração, a moldagem e o espaço para higienização) (Fig. 4 e 5).
Com a broca tipo trépano (Paramax Drillis 0,7mm OrtoPins da Coltène Whaledent, USA), a qual apresenta limitador de penetração, confeccionou-se quatro perfurações com 2 milímetros de profundidade, localizadas nas regiões correspondentes às bases das cúspides (Fig. 6 e 9). Estes orifícios e a área de atrito friccional conseguida com o bisel chanfrado periférico de forma côncava, evitaram a confecção de núcleo e o preparo para coroa total, preservando a vitalidade pulpar do dente e os limites cervicais localizados supragengivalmente.
Para conseguir o paralelismo entre os orifícios, um fio ortodôntico foi inserido na primeira perfuração, o que auxiliava no posicionamento paralelo da broca no momento da realização do segundo orifício e, assim sucessivamente, até a última perfuração (Fig. 7).
Com os pinos plásticos cilíndricos que acompanham o Kit do Sistema Paramax (Coltène Whaledent, USA) colocados nos orifícios (Fig. 8, 9 e 10), realizou-se a moldagem com silicona de condensação (Optosil-Xantopren) sendo que o material leve foi inserido com seringa para elastômeros e o material pesado acomodado diretamente na moldeira. Após a reação de polimerização da silicona, o molde foi removido juntamente com os pinos plásticos (Fig. 11).
No modelo de trabalho pôde-se visualizar com bastante nitidez os limites cervicais reproduzidos pelo material de moldagem e as perfurações reproduzidas pelos pinos plásticos (Fig. 12).
A restauração provisória foi confeccionada com r.a.a.q. e retida com a introdução dos pinos de alumínio nos orifícios do remanescente preparado (Fig. 13). Após a polimerização da mesma, o conjunto resina/pinos foi removido e realizada a escultura da superfície oclusal (Fig. 14 e 15). Após o ajuste oclusal e a adequação dos contornos anatômicos do elemento dentário foi realizado o acabamento e o polimento (Fig. 16).
O padrão de cera foi confeccionado para a fundição com liga de ouro (Fig. 17, 18 e 19); posteriormente provou-se a infra-estrutura metálica, observando a adaptação da mesma e o espaço oclusal necessário para a aplicação da cerâmica (Ceramco III) (Fig. 20). Optou-se por cinta metálica em toda a área periférica, sendo que na palatina e nas proximais, a bainha era ligeiramente maior. Após radiografia periapical para comprovação da adaptação marginal (Fig. 21), os ajustes oclusais foram realizados em oclusão habitual, nas posições de relação cêntrica, nos movimentos cêntricos e excêntricos, a fim de se estabelecer os pontos de contato e áreas de apoio para depois se realizar o glazeamento (Fig. 22 e 23). Na Figura 24 pode-se observar o aspecto interno da restauração finalizada.
Após a limpeza do dente preparado com pedra pomes, com o intuito de remover restos do cimento provisório, foi aplicado verniz cavitário (Copalite) para vedar os túbulos dentinários e a restauração fixada com cimento de fosfato de zinco. Os devidos ajustes foram novamente realizados (Fig. 25 e 26).
Considerações Finais
A restauração parcial ou total tipo pinledge é uma alternativa de tratamento viável e conservadora, pois segundo a literatura especializada possibilita manter a vitalidade de um dente que apresente a coroa clínica curta ou bastante destruída.
Fig. 1
Vista intra-bucal por oclusal do dente 26 mostrando as cúspides mésio-vestibular e mésio-palatina fragilizadas.
|
|
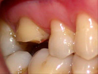
Fig. 2
Vista por vestibular após a redução das cúspides.
|
|
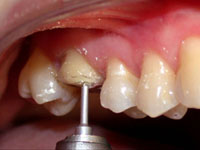
Fig. 3
Determinação do bisel chanfrado ou côncavo vestibular com a ponta diamantada n°3118 (KG Sorensen).
|
|
Fig. 4
Determinação do bisel proximal com a ponta diamantada de menor diamêtro (n°1111 da KG Sorensen). Notar a proteção do dente 25 da ação da ponta, com a utilização de matriz de aço dobrada em forma de Z.
|
|
Fig. 5
Vista oclusal do dente depois de preparado, onde se pode notar o bisel periférico de forma côncava e a separação com o dente vizinho para manter a distância biológica horizontal.
|
|
Fig. 6
Broca trépano realizando a perfuração na base da cúspide mésio-vestibular.
|
|
Fig. 7
Fios ortodônticos de 0.7 mm inseridos nos orifícios permitindo a visualização do paralelismo ou não após a realização das perfurações.
|
|
Fig. 8
Sistema Paramax (Coltène Whaledent, USA) utilizado para se obter uma ? nucleada provida de pinos.
|
|
Fig. 9
O kit do Sistema Paramax é fornecido com as brocas tipo trépano (Paramax Drillis 0,7mm OrtoPins) , pinos plásticos para moldagem e confecção do padrão e pinos de alumínio para a provisória.
|
|
Fig. 10
Pinos de nylon posicionados nos orifícios para reproduzir a localização, diâmetro e profundidade dos mesmos.
|
|
Fig. 11
Molde depois de removido juntamente com os pinos plásticos que reproduzirão os orifícios.
|
|
Fig. 12
Troquel de trabalho articulado ao modelo mestre, onde se pode visualizar os quatro orifícios reproduzidos pelos pinos de nylon.
|
|
Fig. 13
Pinos de alumínio posicionados nos orifícios para confecção da restauração provisória.
|
|
Fig. 14
Aspecto interno da restauração provisória. Observar as extremidades superiores dos pinos de alumínio incluídos na resina acrílica.
|
|
Fig. 15
Vista oclusal da restauração provisória após escultura e polimento.
|
|
Fig. 16
Determinação com fita carbono para o ajuste oclusal da restauração provisória.
|
|
Fig. 17
Padrão de cera confeccionado sobre os pinos de plástico inserido nos orifícios do modelo para ser reproduzido por fundição em liga de ouro cerâmico.
|
|
Fig. 18
Fundição nucleada a pino depois de fundida com a liga de ouro cerâmico.
|
|
Fig. 19
Infra-estrutura metálica depois de ajustada e adaptada sobre o modelo de trabalho.
|
|
Fig. 20
Aplicação da porcelana (Ceramco III) antes da sinterização.
|
|
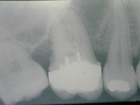
Fig. 21
Radiografia periapical para verificação da adaptação da restauração.
|
|
Fig. 22
Aspecto externo da restauração após o glazeamento, onde é possível notar a escultura anatômica da plataforma oclusal e reprodução caracterizada com corantes dos sulcos primários e secundários.
|
|
Fig. 23
Restauração posicionada no modelo de trabalho após os devidos retoques e glazeamento final.
|
|
Fig. 24
Aspecto interno da restauração metalocerâmica provida de quatro pinos paralelos (pinledge), reproduzidos pela fundação.
|
|
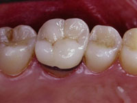
Fig. 25
Vista palatina da restauração metalocerâmica fixada com cimento de fosfato de zinco, devolvendo a função, estética e preservando a estrutura dentária.
|
|
Fig. 26
Vista oclusal da restauração metalocerâmica. Observar o uso de caracterizadores nos sulcos e fóssulas.
|
|
Referências Bibliográficas
ARCORIA, C.J. et al. Effect of undercut placement on crown retention after thermocycling, J oral Rehab., v.17, n.5, p.395-402, Sept. 1990.
CHAN, K.C.; HORMATI, A.A.; BOYER, D.B. Auxiliary retention for complete crows provided by cement keys. J Prosthet Dent., v.45, n.2, p.152-5, Feb. 1981.
COURTADE, G.L.; TIMMERMANS, J.J. Pins in restorative dentistry. Saint Louis, Mosby, 1971, p.63-144.
CUTLER, H.J. Cast dowel retention. J. Amer. Dent. Ass., v.30, n.7, p.1062-5, July, 1943.
GODOY, L.F. de; PAZIM, M.S. de L; MONDELLI, J. Princípios biomecânicos aplicados aos preparos cavitários para RMF. In : MONDELLI, J., apud. Restaurações fundidas: procedimentos técnicos e clínicos. Rio de Janeiro, Cultura Médica, 1993. Cap.2, p.38-53.
KINIBBS, P.J.; FOREMAN, P.C.; SMART, E.R. The use of an analog type apex locator to assess the position of dentine pins. Clin Prev Dent., v.11, n.4, p.22-5, Jul./Aug. 1989.
KOSER, J.R. Suggested application of fundamental cavity design for the restoration of grossly destroyed teeth. Apud. MONDELLI, R.F.10 p.5.
LOEB, H. & STECZ, C.F. Restoration of devitalized posterior tooth with a pin-retained onlay. J Prosthet Dent., v.46, n.4, p.408-10, Oct. 1981.
MONDELLI, J. Ligas alternativas para restaurações fundidas. São Paulo, Panamericana, 1995. Cap.9, p.203-52.
MONDELLI, R.F. Resistência à remoção por tração axial e desajuste de coroas totais e restaurações M.O.D. fundidas, em função da altura dos preparos e retenções adicionais. 1996. 122f. Tese (Doutorado em Dentística) – Faculdade de Odontologia de Bauru, Universidade de São Paulo, Bauru.
TRISTÃO, G.C. & MATSON, E. Efeitos dos esforços produzidos pelos pinos. Rev. Inst. Odontol. Paul., v.4, n.1, p.1-3, Jan./Jun. 1986.
WORLEY, J.L.; HAMM, R.C.; VON FRAUNHOFER, J.A. Effects of cement on crown retention. J Prosthet Dent., v.48, n.3, p.289-91, Sept. 1981.
|
|
 |
Laboratório Nicolau
Telefones: 11 3256-7388 / 11 3257-1988 - Fax: 11 3257-2135
Rua 7 de Abril, 118 - 12o. andar -
Centro - CEP 01044-902 - São Paulo,SP - Brasil
E-mail: nicolau@nicolau.com.br
Responsável Técnico: Nicolau José Cury - CRO-SP TPD 002
|
 |
|
|
 |